Warum muss zur Erkennen der Coronavirus-Erkrankung ein Lungenscan durchgeführt werden?

Die Verbreitung der Coronavirus-Erkrankung schritt so schnell voran, dass sie Krankenhäuser in der Diagnose nicht hinterher kamen.Aus diesem Grund wurde die schnelle Produktion der RT-PCR Test-kits von großer Bedeutung und ging in Massenproduktion, was jedoch auch einige Probleme nach sich zog u.a verminderte Genauigkeit und die Unzuverlässigkeit einiger Kits. Studien über die Symptome des Virus ermöglichten eine Kategorisierung der Infizierten. Als Hauptsymptome gelten Fieber und Atembeschwerde bzw. hohes Fieber und Atemstörung als Symptome der Schwererkrankten. Ausgeführte Studie haben gezeigt, dass in den ersten Phasen der Krankheit, Röntgenbilder der Brust ein genaueres Ergebnis liefern als die ältere Methode der Test-Kits. Für diesen Zweck haben wir eine App erstellt, welche durch die Analyse der Röntgenbilder die Krankheit und Ihre unterschiedlichen Phasen präziser erkennbar macht.

Diagnose

Wählen Sie ein bild

Datei hinzufügen


 

Ergebnisse

Wählen Sie ein bild
 

 
drucken



Beispielbilder von Menschen mit Corona
Bild 1
Bild 2
Bild 3

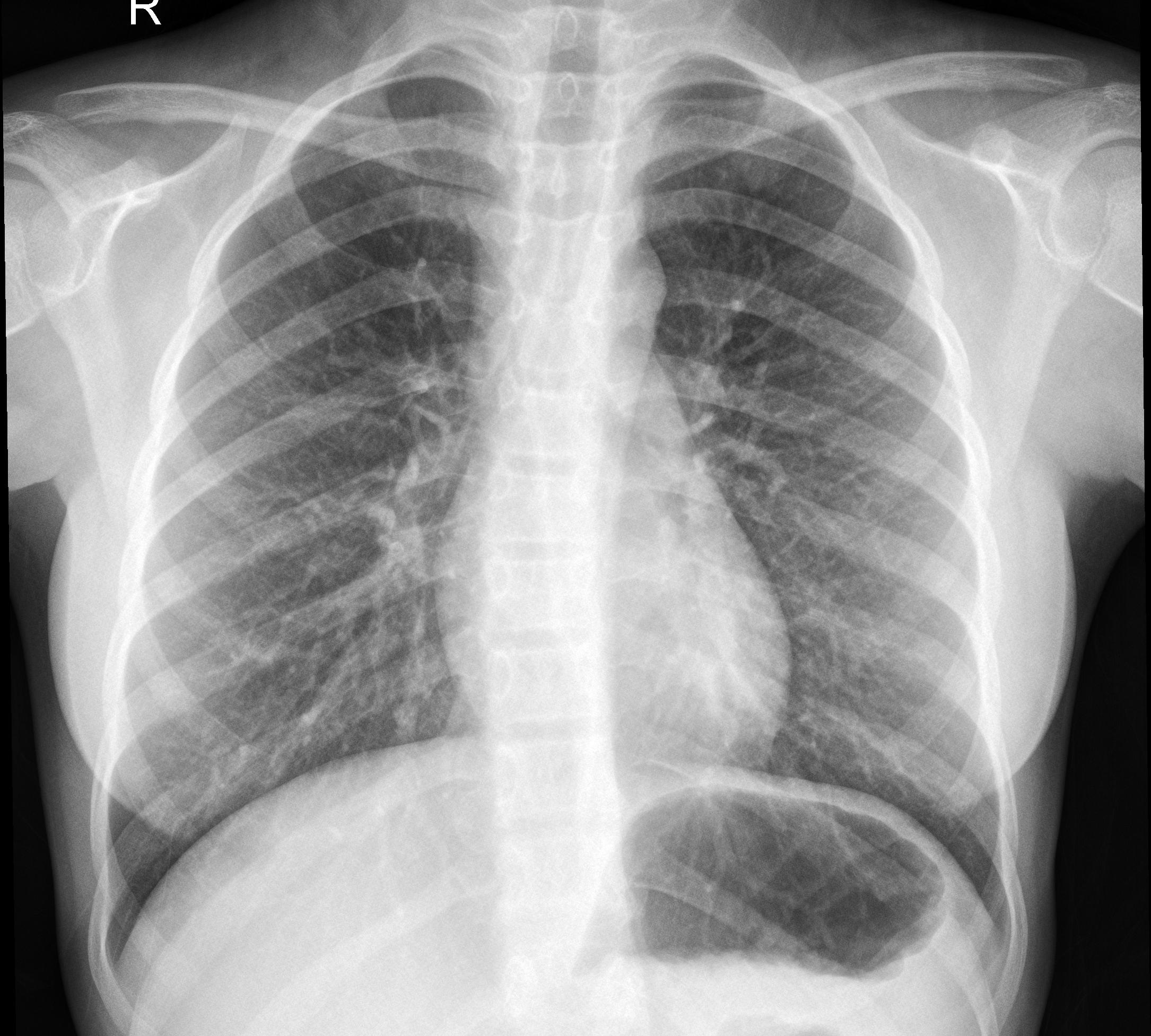
Beispielbilder von Menschen ohne Corona
Bild 1
Bild 2
Bild 3

Über mich

Übersetzt von Melika (Mahta) Yousefi ,FU Berlin Studentin

In zusammenarbeit  Mit dem Wissenschafts- und Technologiepark Ardabil